服务热线
400-611-2850
普略医学是国内首家专注于医学科研咨询及技术服务的公司,专门为临床医生提供科研问题解决方案。
Phone: 400-611-2850
E-mail:: service@100biotech.com
或 在线留言 给我们
1、联系与咨询。
您可通过公司的服务热线400-611-2850和服务邮箱 service@100biotech.com,或者与您联系的普略医学服务人员,告知您的科研合作需求2、签订保密协议,洽谈具体服务内容。
在双方签订合作保密协议后,您可与普略医学科研合作咨询小组进行具体项目沟通;您和普略医学双方明确服务产品需求和具体项目要求;普略医学制作和提交项目实施方案和报价。3、双方签订合同,客户按合同支付费用。
双方对合同服务内容和价格无异议后,签订服务合同。您按合同约定支付费用,并提供必要的实验药品或样品(实验样品的寄送须采用特快专递形式邮寄,有低温要求的、固定要求的,按低温保存、固定防碎方法运输,以确保安全可靠)。4、项目实施,开始为客户提供科研咨询和技术服务。
普略医学按合同方案进行项目实施。项目实施过程中,普略医学项目经理按时与客户反馈及交流信息;普略医学开始为客户提供相关科研咨询和技术服务,并及时按合同将数据、材料、样本、模型等相关信息材料提供给客户。5、分析结果资料,整理提交数据。
普略医学技术团队分析整理数据,总结结论,将完整项目实施报告和数据、图片等相关信息提供给客户,同时根据合同处理相关的实验材料。项目报告内容将包括具体实验方法、步骤、所用试剂、仪器、数据、结果和结论等。6、项目完成,协商进一步合作。
项目完成,客户如有后续科研服务需求,双方协商进一步合作。

Nature重磅!裸鼹鼠基因移植成功,延长其他动物的寿命
发布时间:2024-04-25 09:46 文章来源:原创 作者:Medical Research
最近,一项突破性的研究成果揭示了裸鼹鼠体内一种名为高分子量透明质酸(HMM-HA)的物质,可能是它们长寿和健康的关键因素。研究人员已经成功地将这一特性转移到了小鼠身上,显著改善了它们的健康寿命。
那么,裸鼹鼠的这一发现究竟隐藏着怎样的秘密?我们能否从中找到延长人类健康寿命的线索?
透明质酸(HA)的长寿密码
在裸鼹鼠的长寿之谜中,透明质酸(HA)扮演了一个关键角色。这种高分子量的多糖不仅在细胞外基质中发挥着重要作用,还与裸鼹鼠的抗癌能力和抗衰老特性紧密相关。在裸鼹鼠体内,高分子量透明质酸(HMM-HA)的含量极为丰富,与小鼠和人类组织相比,其独特的细胞保护特性尤为显著。
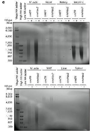
NMRHas2 小鼠在多个组织中具有更高的分子量和更丰富的 HA
受到裸鼹鼠这一天然特性的启发,研究人员采用了最新的转基因技术,设计出了一种特殊的小鼠模型——过表达裸鼹鼠透明质酸合酶2基因(NMRHas2)的转基因小鼠。这一创新性的尝试,使得研究人员能够在小鼠体内复制裸鼹鼠的长寿特性,为研究人类衰老和长寿提供了新的视角和可能性。
NMRHas2小鼠的育种策略
通过一系列的实验和观察,研究人员发现,这些经过基因改造的小鼠在多个组织中的透明质酸水平显著增加。更重要的是,这些小鼠不仅自发性和诱导性癌症的发生率降低,而且寿命得到了延长,健康寿命得到了显著改善。这些成果表明,裸鼹鼠中的长寿机制确实可以在其他物种中复制,并可能为人类健康寿命的延长提供新的策略。
自发性癌症发病率
透明质酸(HA):细胞外的守护者
透明质酸(HA)是一种存在于我们身体各处的多糖,它在细胞外基质中起着至关重要的作用。HA的分子量不同,其生物功能也各异。低分子量透明质酸(LMM-HA)通常与炎症、组织损伤和癌症转移相关联,而高分子量的透明质酸(HMM-HA)则展现出了截然不同的生物特性。
GO富集分析
在老年雌性(c)和雄性(d)nmrHas2小鼠的肝脏中,与炎症相关的通路在衰老过程中被上调的数量减少。在老年雌性(e)和雄性(f)nmrHas2小鼠的肝脏中,与炎症相关的通路被下调。
在裸鼹鼠的组织中,HMM-HA的含量异常丰富,这种高分子量的透明质酸赋予了裸鼹鼠独特的抗癌和抗衰老特性。HMM-HA通过多种机制发挥作用:
1.抗炎作用:HMM-HA能够减轻多个组织的炎症反应,减少与年龄相关的无菌炎症,这是推动衰老和与年龄相关的疾病的重要因素。
2.免疫调节:HMM-HA对免疫细胞具有直接的免疫调节作用,能够抑制促炎性细胞因子的产生,同时促进抗炎细胞因子的释放。
3.抗氧化保护:HMM-HA保护细胞免受氧化应激的损害,这是导致细胞老化和功能障碍的关键因素之一。
4.肠道屏障功能:HMM-HA在衰老过程中改善肠道屏障功能,有助于维持肠道健康,减少炎症和维持肠道菌群的平衡。
在裸鼹鼠中,HMM-HA的高水平积累为它们提供了强大的保护机制。这种透明质酸不仅有助于维持组织的稳态,还通过其抗炎和抗氧化特性,减缓了衰老的进程。此外,HMM-HA在肠道健康中的作用,进一步强化了裸鼹鼠对与年龄相关疾病的抵抗力,使得它们能够享有更长的健康寿命。
创新的转基因技术
为了探索裸鼹鼠长寿秘密的可行性,研究人员采用了转基因技术,设计出了一种特殊的小鼠模型。这个模型通过过表达裸鼹鼠的透明质酸合酶2基因(NMRHas2),使得小鼠体内也能够产生高分子量透明质酸(HMM-HA)。实验中,研究人员使用了广泛性的CAG启动子来驱动NMRHas2基因在小鼠体内的表达。为了控制基因表达的时间,他们利用了Lox-STOP-Lox系统,并在小鼠3个月大时通过注射他莫昔芬来诱导NMRHas2基因的表达。
通过这一创新的实验方法,研究人员观察到了以下几个显著的成果:
1.透明质酸水平的增加:与对照组相比,经过转基因操作的小鼠在多个组织中的透明质酸水平显著增加,特别是在肌肉、心脏、肾脏和小肠中,透明质酸的分子量也更高。
2.降低癌症发生率:在长期观察中,转基因小鼠表现出了较低的自发性癌症发生率。特别是在最年长的年龄段,这种差异更为明显,显著减少了癌症相关的死亡风险。
3.寿命的延长:NMRHas2小鼠的中位寿命和最大寿命均有所增加,其中雌性小鼠的中位寿命增加了9%,雄性小鼠的最大寿命增加了16%。这表明了通过提高HMM-HA水平,确实可以延长小鼠的寿命。
4.改善健康寿命:除了寿命的延长,NMRHas2小鼠在多个健康参数上也表现出了改善,包括更好的运动和协调能力、更高的骨密度以及更年轻的表观遗传年龄。这些变化表明,增加的HMM-HA不仅延长了小鼠的寿命,更重要的是提高了它们的生活质量。
这些实验结果为我们提供了有力的证据,证明了通过转基因技术提高HMM-HA水平是一种有效的延缓衰老、提高健康寿命的策略。
裸鼹鼠的长寿秘诀对人类的启示
裸鼹鼠的长寿特性和小鼠模型的研究成果为我们提供了宝贵的健康和长寿线索。通过提高HMM-HA水平,我们不仅能够延长寿命,更重要的是,我们能够提高健康寿命,让人们的生活更加健康、活力充沛。
这些发现对于开发新的健康和长寿策略具有重要意义。例如,通过提高HMM-HA水平,我们可能能够开发出新的治疗或预防与年龄相关的疾病的策略,如癌症、心血管疾病和神经退行性疾病。此外,HMM-HA的抗炎和抗氧化特性也为我们提供了新的视角,以维护整体健康和延缓衰老过程。
随着研究的深入,HMM-HA的潜在临床应用可能包括:
1.抗衰老治疗:开发能够提高HMM-HA水平的药物或补充剂,以延缓衰老过程,提高生活质量。
2.炎症性疾病的治疗:利用HMM-HA的抗炎特性,治疗慢性炎症性疾病,如关节炎、炎症性肠病等。
3.肠道健康干预:通过调节肠道菌群和增强肠道屏障功能,改善消化系统健康,减少相关疾病的发生。
总之,裸鼹鼠的长寿秘密为我们提供了改善人类健康的新途径。通过未来的研究和临床应用,我们有望实现更长寿、更健康的生活,让每个人都能享受高质量的晚年生活。
普略医学转化研究院的愿景与使命是:转化最新医学科技,提升人类健康。我们致力于设计和开发更高效、更安全的抗衰老治疗方案。我们相信,借助持续的科技革新和转化,终将开发出真正有效的抗衰老技术,让日渐衰老的人类永葆青春活力。
人划线